loader
Like us!
Chat with us!
Call us!
Follow us!

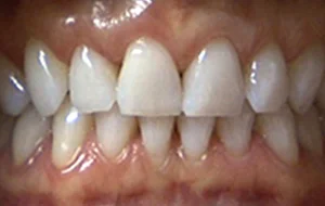
WHAT IS TEETH WHITENING?

Teeth whitening is a process of removing stains from the tooth surface and restoring the natural color of the teeth. Whitening is a one-time procedure performed by a dentist. It is amongst the most common and widely adopted procedure. With the advent of the latest Dental technology, we have advanced whitening treatment procedures which give reliable and long-lasting results.For better results do get it done from a trained dental professional.

WHAT IS THE NEED FOR TEETH WHITENING?

The enamel which reflects the natural color of your tooth can stain or dentin which is the inner surface of teeth stains and yellows the teeth. The causes of tooth discoloration are varied. Though many causes can be prevented yet there are some which are not in control. The causes of discoloration are:
  • Consuming tea, coffee, wine, cola frequently
  • Smoking cigarettes and chewing tobacco
  • High intake of fluoride during childhood
  • Damage of developing permanent teeth due to accident or trauma
  • Aging can also contribute to staining of teeth as with age the enamel gets thinner exposing the dentin below. With age, the dentin come in contact with certain food and beverage and can stain your teeth
  • Certain medical treatments can also contribute to staining of teeth
  • The process of Teeth Whitening clears the stain and make your teeth look whiter. However, one should keep in mind that the results may vary from person to person.

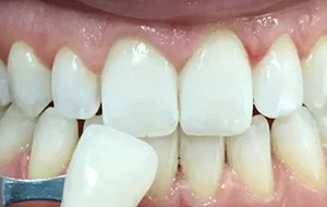
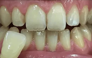
HOW DOES TEETH WHITENING WORKS?

Your dentist will first photograph your teeth which will help to know the progress of the treatment. This is also used to examine your tooth and figure out the stains. After examining the tooth dentist will start by cleaning the tooth. He will remove the film on your enamel coated due to the food you eat or due to other substances. The whitening process begins after this. The entire process takes around 30-90 mins depending upon the severity of the stains on teeth. Your dentist will cover the gums and will then apply the whitening agent on teeth. Some whitening agents require laser lights on them and if your teeth are badly stained then your dentist will suggest you continue the process at home for a few days. You can also opt for home whitening treatment, in this, your dentist will take an impression of your teeth and will make a custom fit mouthpiece. This helps the whitening agent to stay intact on your teeth. One can also buy over the counter whitening products which is suitable only for the teeth which are not heavily stained.

IS THERE A RISK ASSOCIATED WITH TEETH WHITENING?

Teeth whitening do not have any risks associated however, some people may feel sensitivity for a few days or can experience mild gum irritation for some days. Because Teeth Whitening is a cosmetic procedure it is not advised to pregnant ladies. They can get it done only after delivery. To know more about Teeth whitening click here.

COST FOR TEETH WHITENING

The cost of teeth whitening might vary greatly depending on the product and technique used. In addition, it also depends on the condition of your teeth. The dentists at Clove Dental would be able to give you an estimate after a complete evaluation of your teeth and smile.

FREQUENTLY ASKED QUESTIONS

A teeth whitening treatment by professional lasts for about a year. Thus, undergoing a teeth whitening process after one year is considered healthy for overall oral health and a lasting smile. If you want to get expert teeth whitening treatment, get an appointment today.

Brushing teeth right after a teeth whitening treatment is not advised by dentists. Individuals must allow few hours to pass before brushing the teeth for the first time after treatment.

There are many types of teeth whitening treatment. The effect of each treatment differs from few months to up to three years. However, individuals who consume a lot of tea, coffee, and tobacco, or smoke will not be able to see the results for a longer time.

The teeth whitening cost differs on aspects like oral health situation of an individual and type of treatment selected. Patients must discuss with a dentist to get complete details of price for the teeth whitening treatment.