loader
Like us!
Chat with us!
Call us!
Follow us!

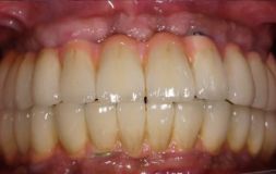
WHAT ARE DENTAL IMPLANTS?

Dental implants are easily the most popular and also the ideal solution, for replacing your missing tooth/teeth. They have definitely changed the course of dentistry in the last quarter of a century or so. A dental implant is basically a titanium post which is surgically inserted into the jawbone beneath the gum line to work as a tooth root. Post insertion, an implantologist will attach a crown on top of the implant to ensure the appearance of a natural tooth. Tooth Implants not only look and feel like your natural teeth but also function like.

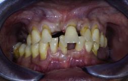
WHY DENTAL IMPLANTS?

One can face the problem of missing teeth at any point in life. Tooth loss can be due to trauma, accident, severe gum disease, tooth decay or even due to poor oral hygiene. If left untreated missing teeth can lead to various consequences such as:
  • Speech problems resulting from the gap created by one or more missing teeth
  • Difficulty in chewing
  • Face may start look older and wrinkled with sunken cheeks as missing teeth can cause sagging of muscles which can’t support lips & cheeks
  • Pain in the facial muscles of the jaw resulting in an improper bite induced by the missing teeth
  • Tooth decay and gum disease, over time, due to plaque accumulation & food entrapment in the gap caused by the missing teeth
  • Improper bite resulting from a tilt of adjacent teeth into the empty spaces caused by a missing tooth
  • Untreated missing teeth may dent the facial appearance causing low set-esteem or lack of confidence
  • Hiding smile during conversations or at public gatherings to avoid the embarrassment caused by a bad smile from missing teeth

ADVANTAGES OF DENTAL IMPLANTS

  • Dental Implants help restore the lost tooth and become the next best thing to your natural teeth
  • Implants are a durable solution with the potential to even outlive the patient
  • Dental Implants help maintain the shape and contour of face & smile which can go wrong due to missing teeth making the facial muscles sag
  • Implants don’t harm the adjacent tooth structure in any manner and protect healthy bone
  • Implants ensure superior appearance and comfort with no speech issue to deal
  • Implants boost your self-esteem for being a perfect solution to the missing tooth
  • Implants give the freedom to enjoy your favourite foods without any worry

POST-OPERATIVE INSTRUCTIONS FOR DENTAL IMPLANTS

  • Follow these post-operative instructions after Dental Implant procedure, and never hesitate in consulting the doctor for any question or problem: Avoid touching, spitting or rinsing the wound on the day of surgery. Don’t touch the metal healing abutment jutting through the gum tissue.
  • After implant surgery, it’s normal to have some bleeding or redness in the mouth for 24 hours. To control excessive bleeding, bite on a gauze pad (placed on the bleeding wound) for 30 minutes. If bleeding does not stop, seek further instructions from your dentist.
  • Swelling is natural after surgery. To minimize it, apply an ice pack on the cheek in the surgical area (you can also use a plastic bag or an ice-filled towel). Apply the ice as much as you could for the first 36 hours.
  • Drink lots of fluids but avoid consuming hot beverages. Stick to soft diet on the day of surgery. You can get back to the normal diet once the surgical area is healed. Don’t drink anything using a straw.
  • Start taking pain medication as soon as you feel the effects of the local anesthetic are going down. However, take the medicines prescribed by the dentist.
  • Healing is not possible without good oral hygiene. Use the prescribed oral rinse while the day after surgery, use the prescribed oral rinse twice – after breakfast and before bed. Rinse for at least 30 seconds and then spit it out. Use warm salt rinses at least 4-5 times a day as well. Be gentle initially while brushing the surgical area to not affect the healing.
  • Do not use, or consume, tobacco products in any form or any type after implants. It not only hinders healing but may also increase the chances of implant failure.
  • Don’t engage in exercise immediately after the surgery or keep it minimal at best. You should know that exercise may cause bleeding or throbbing, and it really happens, stop the activity right away. This may weaken you since you’re not taking normal nourishment.
  • Healing abutments will be placed at the time of implant placement. So, do rinse them frequently and keep them clean. Wait for the stitches to dissolve and then clean the abutments through gentle massage.
  • Don’t use partial or full dentures or flippers immediately after surgery or for 10 days afterward at least.

FREQUENTLY ASKED QUESTIONS

Dental implants are known to last for very long, especially with proper care. They can last for as long as 25 years. Get dental implants from a professional at your nearest Clove Dental Clinic.

For missing teeth, dental implants have become the most promising choice. If your mouth is missing most or all of the teeth, then procedures like all-on-four and all-on-six can help get full mouth dental implants with 4 or 6 titanium posts on your jaw bone.

While getting dental implants from an expert implantologist, the patient will feel little or no pain at all. Part of the preparation for the implant includes administering a local anaesthetic so the patient does not feel any pain.

At Clove Dental, one get the best quality of treatment. We ensure that our patients get the value for the dental implant cost that they paid. Also, Clove Dental purchases only from original manufacturers, therefore, maintaining authenticity and quality.