loader
Like us!
Chat with us!
Call us!
Follow us!

WHAT ARE GUM DISEASES?

Gum disease is an inflammation of the gum line that can progress to affect the bone that surrounds and supports your teeth.
Gum Disease also known as Periodontal Disease begins with bacterial growth in the mouth, the localized inflammation of the gingiva is initiated by bacteria in the dental plaque, which is a microbial biofilm that forms on the teeth and gingiva. Nearly 70% of the people are affected by this disease at some point in their life. Though such a prevalent disease most people are unaware of the issue and the problems it can cause.

CAUSES OF GUM DISEASE

The primary cause of Gum Disease is poor oral hygiene. If you are not brushing or flossing properly, then the chances of bacteria build-up are high. However, there are other reasons as well such as:
  • Smoking or chewing tobacco which makes difficult for gum tissues to repair.
  • Consuming certain medications (oral contraceptives, steroids, anticonvulsants, calcium channel blockers, and chemotherapy) lessen saliva flow that protects teeth and gums. Some medicines even cause the abnormal growth of gum tissue.
  • Crooked or misaligned teeth.
  • Hormonal changes such as puberty, menstruation, menopause, pregnancy etc. can make your gums sensitive and as a result prone to gum diseases.
  • Certain illness such as cancer and HIV make your immune system weak are at higher risk of developing gum disease. Also, people who are diabetic are more prone to get Gum Disease.
  • Genetic susceptibility such as family history can contribute to gingivitis.

SYMPTOMS OF GUM DISEASES

  • Bleeding of gums when you brush or floss your teeth.
  • Pulling of gums away from the teeth.
  • Teeth loosening.
  • Change in the way your teeth fit together when you bite (malocclusion).
  • Pus between teeth and gums.
  • Pain while chewing.
  • Teeth sensitivity.
  • Tender, red or swollen gums.
  • Ill-fitting partial dentures.
  • Foul breath that doesn’t go away even after brushing.
  • Deep space formation between gums and teeth.

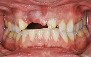
STAGES OR TYPES OF GUM DISEASE

The stages of Gum Diseases are as follows:

GINGIVITIS:
This is the first stage of gum disease, caused due to the plaque build-up on gums. If the plaque is not gone after brushing and flossing, then it can cause irritation. In this stage, you will notice your gums bleeding while brushing and flossing. Because bone is not affected in this stage, the chances of recovery are quite high.

PERIODONTITIS:
Gingivitis if not treated on time, can lead to Periodontitis. This stage starts affecting your bone. Spaces are formed between bone and gum line as a result, bacteria will get a space food lodgement. If you visit your dentist on time then Periodontitis can be prevented. Periodontitis is an advanced gum disease.

ADVANCED PERIODONTITIS:
This is the final stage of your gum disease where your bone is destroyed making your teeth loosen further. This can only be saved with surgery. And if the case is very advanced then even surgery cannot save your tooth, as a result, your dentist has to extract your tooth.

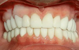
TREATMENT OPTION OF GUM DISEASE

The treatment option depends on the stage of Gum Disease. It also depends on your medical history and your overall health.
The treatment options range from non-surgical therapies to surgical treatments.

The Non-Surgical Options Include:
Deep Cleaning:
This is done in the very initial stage of developing a Gum Disease. Your dentist will remove the plaque or tartar (which hardens the tooth surface) from below and above the gum line. It is a preventive measure which helps you to save from getting gum disease.

Scaling & Root Planning:
This is also a deep cleaning process. The only difference is that your dentist will give local anesthesia to start the process. Plaque and tartar are removed from above and below the gum line and after that, the rough spots are made smooth. The process of smoothing helps to remove the bacteria. This is done only if your dentist finds that you have calculus deposits under the gum.

Surgical Treatment Includes:
Flap Surgery
In this, incision is made on the gums to remove the tartar. Sometimes the irregular surface of the bone is smoothened so that there are no areas for bacteria which cause this disease can hide. This method is used to remove the gap between gums and tooth.

Flap Surgery
In this, incision is made on the gums to remove the tartar. Sometimes the irregular surface of the bone is smoothened so that there are no areas for bacteria which cause this disease can hide. This method is used to remove the gap between gums and tooth.

Flap Surgery
In this, incision is made on the gums to remove the tartar. Sometimes the irregular surface of the bone is smoothened so that there are no areas for bacteria which cause this disease can hide. This method is used to remove the gap between gums and tooth.

Flap Surgery
In this, incision is made on the gums to remove the tartar. Sometimes the irregular surface of the bone is smoothened so that there are no areas for bacteria which cause this disease can hide. This method is used to remove the gap between gums and tooth.

PREVENTION OF GUM DISEASE

  • Brush your teeth twice a day (with a fluoride toothpaste).
  • Floss regularly to remove plaque from between teeth.
  • Visit your dentist after every 6 months for a routine check-up and professional cleaning.
  • Quit smoking

FREQUENTLY ASKED QUESTIONS

No, gum diseases cannot be treated on its own. Gum diseases are caused by the development of tartar on the teeth leading to gum infection. This requires dental cleaning and good oral care routine. Get professional cleaning at your nearest Clove Dental clinic.

Gum diseases are categorized into 4 stages, gingivitis, slight periodontal disease, moderate periodontal disease, and advanced periodontal disease. Curing gum diseases and gum infection depends on the stage at which treatment begins. The recovery time at stage one is 10-14 days.

Yes, gum diseases are treatable. The recovery and treatment duration depends on the stage at which a gum infection is identified and preventive measures are taken.

The first sign of gum disease is red, tender and swollen gums that cause discomfort and pain. Gums can also bleed while brushing, which is commonly considered as a sign of gingivitis-stage one of gum diseases.