loader
Like us!
Chat with us!
Call us!
Follow us!

PREVENTIVE DENTISTRY?

The practice of looking after your gums and teeth and maintaining good oral hygiene to keep them healthy is known as preventive dentistry. The main aim is to avoid cavities, gum infections, enamel wear, tooth loss and more. With the advent of years of refined diet, we have become more susceptible to oral diseases and hence maintaining them has become extremely important. With advancements in dentistry prevention of oral diseases has become easier. Maintenance of oral hygiene has to be practiced from an early age. The daily routines of brushing and flossing twice are the simplest form of preventive dentistry. Visiting a dentist with 6 months follow up is another way of preventing oral diseases. Children benefit most from the preventive dentistry protocol which as it allows their newly developed adult teeth to come strong and healthy. Preventive dentistry aims to prevent initiation and progress of dental diseases, limits their complications and also to provide rehabilitation.
Dental Procedures Involved In Preventive Dentistry:

PREVENTION OF DENTAL DECAY

  • Pit and fissure sealants – Sealants are a safe and painless way to prevent tooth decay. Sealants are applied in the deep fissures and pits of back teeth (molars and premolars) which have pit and fissures on the chewing surface and are more susceptible to decay.
    In this, a protective barrier is placed on the tooth surface which keeps the tooth safe from decays.
  • Fluoride application – Fluoride is a mineral which increases the strength of teeth and also prevents decays and can be recommended in both children and adults. Fluoride gel is applied on trays and then placed on the teeth wherein it forms a strong layer thereby making the teeth resistant to decays.
  • Enameloplasty – In this procedure the deep fissures and fossas are broadened which prevents food lodgement thereby preventing decay. As a result, during chewing the food particles are swept away from the surface preventing the possibilities of decays.

PREVENTION OF GUM DISEASES

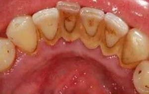
  • Oral prophylaxis – A simple procedure of professional cleaning of teeth dislodges the plaque deposits on the teeth and hence maintains the health of the gums. This procedure should be done at an interval of 6 months.

PREVENTION OF CROWDING OF TEETH

  • Serial extraction – It’s a planned extraction of certain deciduous teeth and specific permanent teeth to guide the erupting permanent teeth into a favorable position. This prevents the possibility of crowding in the future. This is usually done during the age of 8 to 9 years.
  • Space maintainers – Space maintainers are custom made appliances which are placed to maintain space for the erupting permanent teeth. In cases of early loss of deciduous teeth, either because of caries, trauma or early shedding of milk/ primary teeth the space for the upcoming permanent tooth can be lost, if the posterior teeth move forward.
    In order to save this migration of adjacent teeth into this empty space, space maintainers are given. These are a preventive appliance to ensure no complication in the eruption of teeth.

ADVANTAGES OF PREVENTIVE DENTISTRY

  • Helps in the maintenance of the health of gums and teeth.
  • Prevents the occurrence of cavities.
  • Prevents gum diseases.
  • Prevents or reduces the chances of upcoming malalignment of teeth.

WHO ALL ARE BENEFITTED FROM PREVENTIVE DENTISTRY?

Preventive Dentistry is for all. Starting right from childhood when the teeth are just emerging to the stage when one might have a chance of losing their teeth or have lost some. In kids, they help in preventing the teeth from getting decayed and also helps your newly grown permanent teeth to stay strong and fit. In growing adults, this keeps the permanent teeth healthy which eventually can be a reason for healthy living.
Because Oral Health is a window to your overall health, therefore, keeping your teeth protected ensures healthy living and more years to your age.
Best Practices For Healthy Teeth
  • Brushing twice a day is the first and foremost step in keeping your teeth healthy, make it a habit. And ensure that you brush before going to the bed as this helps to fight off the bacteria that stay overnight and can harm your tissues.
  • Floss daily. This helps to clean off the particles stuck between your teeth which can be a reason of cavity. Flossing helps to get rid of these particles making your teeth healthy.
  • Rinse after every meal. This is done to ensure that there isn’t any food particle stuck on your gums. This keeps your mouth clean which eventually leads to healthy teeth.
  • Eat a balanced diet. This will help your teeth to get the required nutrients. Drink plenty of water and avoid carbonated drinks. Get a diet which includes all the vitamins and minerals as they are important for your teeth.
  • Visit a dentist. Along with practicing the routine as mentioned above, visit a dentist to after every 6 months for a routine check-up. Your dentist will help you to know whether the practices you are following are good enough or do you need to be extra careful about your oral health.

WHY SHOULD I PAY FOR PREVENTIVE DENTISTRY MEASURES?

Preventive dental visits help in early management of budding dental problems which is much less expensive as compared to addressing these problems when they have become worse & need more aggressive management & correspondingly higher expenses. The cost depends on several factors especially treatments opted for and your oral condition. You can learn more about them in detail by visiting any of our dental clinics in India.

FREQUENTLY ASKED QUESTIONS

Individuals with good oral health can visit a dentist once annually, while patients with a bad oral health history must visit a dentist every six months to ensure good oral hygiene. Find an expert dentist for your oral health at your nearest Clove Dental Clinic .

It is recommended to visit a dentist every six months to ensure good oral hygiene for your children and for early identification of developing infections or diseases.

Yes, fluoride is completely safe in the quantity it is present in tap water and toothpaste commonly used. It actually helps in strengthening teeth, maintaining good oral hygiene, and preventing cavities.

Gum diseases are caused due to poor oral hygiene that leads to plaque formation on the surface of teeth. It can be prevented by regular brushing, flossing and healthy eating habits. Patients experiencing gum infection can visit a dentist for teeth cleaning that can help in the removal of plaque with ease.

No, fissure sealants do not hurt at all. The procedure is very simple and straightforward without the usage of anaesthesia.