loader
Like us!
Chat with us!
Call us!
Follow us!

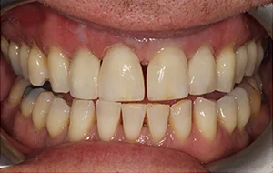
WHAT IS DENTAL FILLING?

Dental Filling is a treatment modality to restore missing tooth structure which could have been a result of decay or trauma. Decay makes tooth hollow. Dental Filling helps to fill this gap and protect it from further decay. A filling is also used to repair broken or cracked tooth and the teeth which wear off due to dental habits like teeth grinding, nail biting etc.

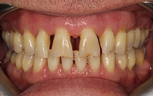
WHEN DOES ONE NEED DENTAL FILLING?

There are various signs and symptoms where fillings can be required. The symptoms could be as below:
  • A hole in your tooth
  • Dark spots on the tooth
  • Food stuck between certain areas of the teeth
  • Chipped or broken tooth
  • Sensitivity to hot and cold food and beverage
  • Single or multiple cavities
If you come across any of the symptoms as mentioned above, then there is a chance that you need a filling. The final decision will be of your dentist after a thorough oral examination.

WHAT IS THE PROCEDURE OF DENTAL FILLING?

Dental Filling is normally required if your tooth is decayed. It can prevent further damage and can protect your tooth.
  • The very first step in this process is to see how severe the infected tooth is. This is because Dental Filling is only suitable for minor fractures and decay
  • The dentist then examines the tooth and if required an X-ray would be done for precise information
  • Depending upon the extent of decay, local anesthesia is administered to make the area around the infected tooth numb
  • Then the decayed or damaged tooth or the areas around it is prepared for restoration
  • If the tooth is damaged, then a dental handpiece or a laser can be used to remove the damaged part
  • A filling is then applied to the area to fill the cavity. The type of filling will depend upon case to case and person to person
  • Finally, the finished tooth can be polished to conclude the dental filling procedure

CONSEQUENCES OF NOT GETTING A DENTAL FILLING DONE

If you have decay, then it is extremely important to get Fillings done because if the treatment is not done on time then slowly the enamel (outer part of teeth) start decaying exposing the dentin (the hard part below the enamel). The bacteria in your mouth will come in contact with dentin, causing infection. Once the infection starts, you will feel sensitivity and will then want to get Fillings done. But if you skip this part and do not get the treatment done on time, then the infection will reach to the nerve which will eventually damage the tooth and then one needs to undergo a Root Canal Treatment. You are also at risk of the infection traveling to the adjacent tooth making it prone to decay.

TYPES OF DENTAL FILLINGS

Dental Fillings are of various types. The type of filling to be used will depend upon the condition of decay and other factors such as a person being allergic to a material. The different type of fillings available are:

Metal Filling:
This old age filling is long lasting. In this type, Silver Filling is comparatively inexpensive. But gold though expensive is a preferred choice. Because they can withstand chewing forces and last usually from 10-15 years.

Amalgam Filling:
These are the most researched and widely used by dental professionals since quite long now. They are made of several metals combined and therefore, they have high strength.

Composite Filling:
These are of the same color as your teeth. These are preferred if a person does not want their filing to be seen. It is recommended & suitable for front teeth. It bonds well with the tooth structure. It is also used for a chipped tooth, however, does not last long as compared to metal and amalgam filling and can also wear off with time.

Porcelain / Ceramic Filling:
This old age filling is long lasting. In this type, Silver Filling is comparatively inexpensive. But gold though expensive is a preferred choice. Because they can withstand chewing forces and last usually from 10-15 years.

FREQUENTLY ASKED QUESTIONS

The longevity of Dental Filling depends upon the material of the filling. It also depends on how well you take care of your filling. The life of Dental Filling varies from 10 years to 20 years.

Yes, but the chances are rare.

Visit your dentist as soon as your Dental Filling comes out.

If you have sensitivity even after getting the filling done, then it is likely that your filling is about to come off. Or if you feel pressure while eating or have a constant toothache then the chances of it coming off is high.