loader
Like us!
Chat with us!
Call us!
Follow us!

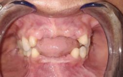
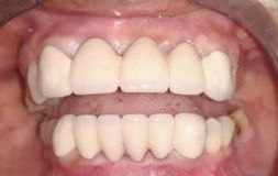
WHAT ARE DENTAL CROWNS?

Dental Crowns are a tooth-shaped cap which is placed on the tooth to restore the shape, size, and appearance of the tooth. It also enhances the strength of the tooth. If the major part of the tooth is missing, then the crown is the best solution for it. By placing the crown, a tooth can function normally again.

WHEN IS DENTAL CROWN NEEDED?

Dental crowns are used as caps on missing or fractured tooth to protect the life of your teeth. Dental Crowns are needed to:
  • Protect or restore a tooth from fracturing due to accident or trauma
  • Replace a tooth which is too large for a filling
  • Get a cap over Implant placed
  • Restore the tooth on which RCT was performed
  • Cover discolored, misshaped or badly formed tooth
  • Require a bridge in that case crowns are a must
In addition, Dental Crown gives your tooth the strength, shape, size and help to improve the appearance of your tooth. If your dentist has advised, you to get a crown and you are delaying the process then there are chances that you can damage your tooth to the extent that extraction is the last resort. Moreover, not getting a dental crown can wear down other adjacent teeth causing damage.

WHAT ARE VARIOUS TYPES OF DENTAL CROWNS?

Dental Crowns can be made in variety come in various materials such as:

Metal Crowns
If someone is looking for long term and the durable solution then metal crowns are to the rescue. The gold crowns in these are the most used and bonds well with the tooth. These can even withstand hard chewing forces and biting. Being stronger they last longer and do not wear down easily. The only drawback is that they are visible from a distance hence, suitable only for molars.

Porcelain-Fused-To-Metal
If you have aesthetic concerns and also wish to have metal crowns inserted then these are the best option available. The inside of the teeth is made up of metal and the outer portion of the crown is made of porcelain, as a result, it has the dual advantage – metal which provides strength and porcelain which matches with the color of the teeth making it look like natural teeth. They look the most like natural teeth.

Ceramic Crown
If you do not want to have metal inserted inside your mouth but want the strength to match metal crowns then ceramic crowns are the best option available. Not only is the strong but blends more naturally with your tooth color making it unnoticed. It does not have any aesthetic concerns and is the best option for the front, back and even for the bridges. The problem of porcelain wearing down and metal being visible is solved by this Dental Crown. They may not be considered as an option for molars because forces applied while biting can wear down your teeth.

DO’S AND DON’TS WITH DENTAL CROWNS

  • Since the natural teeth are still beneath the crown and are vulnerable to decay, therefore, it is important to maintain good oral hygiene therefore brushing, rinsing and flossing should be followed regularly.
  • If you clench your teeth, then it is advised to use mouthguard to protect your crown and this also does not allow your teeth to wear down.
  • Get crowns only by a dental expert who is trained in placing dental implants. Poor placement of crowns can reduce the longevity of crowns.
  • Do visit your dentist every 6 months to ensure that your oral health is in the best care.
  • Do not use your teeth as tools as this will put pressure and will damage the crown
  • Do not bite your nails and chew pencils
  • Do not chew ice or candy which is hard
  • Do not eat sticky food
  • Do not consume too hot or too cold food as this might cause sensitivity

MYTHS ABOUT DENTAL CROWNS

Dental Crowns carry a lot of myths with them a few of them are:

Dental Crowns Do Not Look Natural
There is a misconception that dental crowns do not match with your teeth hence give the impression of an artificial tooth. However, with changes in technology crowns come in various material which looks exactly like your natural teeth. And even metal crowns are a good and viable option because they are used as molars and are never seen.

Crowns Last Forever
Though the crowns are now stronger and have longevity, yet they cannot last a lifetime. It also depends as to how well they are taken care of. To ensure they last longer visit your dentist after every 6 months, your dentist will monitor your crown and will replace it timely.

Food And Beverage Stains The Crown
The biggest myth that people carry. They believe that food and beverages can stain their teeth with time but in reality, the crowns are made of porcelain and ceramic which do not stain easily.

Only Used For Restorative Dentistry
People believe that one gets crown only if they have fractured tooth, have undergone root canal treatment or have broken or chipped a tooth. But the truth is they are used in cosmetic dentistry as a way to enhance the appearance and to have a whiter and beautiful smile.

Dental Crowns Do Not Break Or Chip
Though ceramic and porcelain are harder substances yet if you bite on something extremely hard, or face accident or trauma then your crown may break.

You Cannot Get Cavity With Crowns
Because crown covers your tooth, therefore, they become vulnerable to decay. Though crowns, as they are artificial, have no chances of decay yet the part below them can decay. It is, therefore, required to keep your teeth and the area around clean to prevent a cavity.

FREQUENTLY ASKED QUESTIONS

Dental Crowns may be more expensive than fillings, but they have the advantage of actually lasting longer as well. At Clove Dental, we ensure that our patients always get the best quality and value for their money. Visit your nearest Clove Dental Clinic for more information.

Depending on several factors that include the case specifics, material, and compliance to oral hygiene routines, dental crowns may last anywhere between 5 to 15 years. We advise our patients to maintain their oral hygiene after implantation of dental crown.

Before the procedure, dentists administer a local anaesthetic. Therefore getting dental crowns may not hurt. However, once the anaesthetic wears off, feeling soreness and sensitivity in the gums is usual, and it usually goes away in a few days.

Root Canal Treatment means that the pulp inside the tooth will be cleared out. Therefore to provide strength after filling up the cavity, crowns are usually used. Adding a crown to the tooth after RCT is a must.