loader
Like us!
Chat with us!
Call us!
Follow us!

WHY IS KIDS DENTISTRY IMPORTANT?

Humans start teething when they are as young as 6 months old and develop their set of primary ‘milk’ teeth. At the age of 6-7 years, humans start losing their milk teeth and the permanent set of teeth start emerging. Because the milk teeth will eventually fall off, some parents tend to ignore taking their child to a dentist. However, these milk teeth form the basis of developing permanent teeth. If proper care is not taken the problems can emerge which will last a lifetime. In recent years the cases of caries in children have grown manifold. Therefore, it is always advised to start taking care of your baby’s teeth in the very early stages of their life. This includes setting Oral Hygiene routine and regular visits to pediatric dentist.

WHAT TREATMENT MODALITIES ARE OFFERED BY THE PEDIATRIC DENTIST

Pediatric Dentist work towards maintaining good oral health in kids. The treatment provided by them includes:
  • Examination of infants and teens. It includes the oral caries assessment in mothers and their kids
  • They are an expert is protecting your kids’ teeth by doing a fluoride treatment
  • Habit counseling in which the doctors help to keep the habits of kids in control
  • Correction of crooked and misaligned teeth
  • Treatment of tooth cavities
  • Treatment of dental injuries

TREATMENT OPTIONS FOR KIDS

Dental Fillings are of various types. The type of filling to be used will depend upon the condition of decay and other factors such as a person being allergic to a material. The different type of fillings available are:

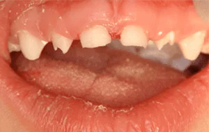
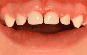
Root Canal Treatment In Milk Teeth
If you think your child is too young to need root canal treatment, think again — there is no age limit for this treatment. If his/her primary (baby) teeth have been injured, or if decay has advanced deep into the roots of your child’s teeth, a root canal treatment to stabilize teeth may be needed. Root canal treatment removes the infection from the pulp, the living tissue that is found inside the tooth’s roots. The pulp contains the tooth’s nerves, so tooth pain is often an indication that decay has moved into the pulp. Root canal treatment is a simple procedure wherein instruments are used to clean the root canals of teeth followed by inserting a medication so as to maintain the teeth properly in the oral cavity.

Oral Habits In Children
Frequently children acquire certain habits that may either temporarily or permanently be harmful to teeth and tooth supporting structures. These habits are acquired as a result of repetition. In the initial stages, there is a conscious effort to perform the act. Later the act becomes less conscious and if repeated often enough may enter the realms of unconsciousness. Some common oral habits seen in children include thumb sucking, mouth breathing, tongue thrusting, lip biting, grinding of teeth and nail-biting. Certain reminding appliances called habit breaking appliances assist the child who is willing to quit the habit but is not able to do so as the habit has entered the subconscious level. They may be removable or fixed appliances.

WHAT TO PAY FOR KIDS’ DENTISTRY SERVICES?

Pediatric dental visits cost a little less than adult visits generally. For most of the services like cleaning and common checkup, the prices are affordable. However, some dental treatments can be marginally higher in cost if your child’s dental health is not immaculate. You can learn more about them in detail by visiting any of our dental clinics in India. Clove has experienced specialists for kids dental care right in your neighborhood. Ideally, it is advised that a child’s first dental visit should be planned when the first tooth erupts

FREQUENTLY ASKED QUESTIONS

You should take your child to the pediatric dentist as soon as the first tooth erupts in their mouth, or right around the time your child turns one. Book an appointment with an expert at your nearest Clove Dental Clinic for pediatric consultation.

It is mandatory for a child to see a pediatric dentist till the age of 14, because by this time, all of their permanent teeth have grown out. Beyond this, it is the choice of the child and his/her parents. However, it is recommended that a child should visit a pediatric dentist till the age of 16.

For children, brushing should start with the eruption of the first tooth. However, expert kids dentist advice to make sure that the amount of toothpaste should be very small, almost equivalent to a grain of rice.

It is extremely important to maintain oral hygiene and keep the mouth clean & clear of germs, irrespective of the age. Mothers can clean the mouth, both upper and lower jaw, of their children with the help of a soft cloth