loader
Like us!
Chat with us!
Call us!
Follow us!

WHAT ARE BRACES?

Dental braces are appliances which are used to align or straighten the teeth and guide the teeth to the corrected position. They are made up of wires, brackets, and bands. Braces aid to correct irregular teeth positioning, jaw correction, improvement in chewing and smile aesthetics. Your dentist is the best person to guide on treatment options and modalities depending upon dentition.

WHAT ARE BRACES USED FOR?

The major reason for getting Braces on is to improve the facial appearance, what people do not know is that there are any other implications which require orthodontic treatment like open bite, jaw structure, crossbite etc.

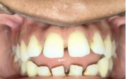
WHAT IS ADULT DENTITION?

This is a stage where adult teeth or permanent teeth replace primary teeth which aid in appearance, speech, and digestion. During this phase, people can face many issues which can be corrected by Braces. These issues include:
  • Crowding / Haphazardly placed teeth can lead to poor oral hygiene and can also be the reason for Dental Caries (Cavities)
  • Improper Bite that affects chewing efficiency
  • Crooked teeth which can be a major reason for Periodontal problems such as Bleeding Gums, Halitosis (Bad Breath) and Tooth Mobility (Premature loss of teeth)
  • If the teeth are irregular, then it can cause calculus deposits leading to yellow teeth
  • Forwardly placed / Proclined Teeth which leads to more convex profile and posteriorly displaced chin
  • Open Bite
  • The spacing between teeth which can cause speech problems

WHAT IS MIXED DENTITION?

This is a stage when one has a combination of both primary and permanent teeth in the mouth is called Mixed Dentition. Wearing Braces in this stage cure the following problems:
  • Jaw Growth disorders at this stage can be corrected in a non-invasive manner which may later require surgical correction
  • Treatment of crooked teeth. This needs to be treated during an early stage else it will affect Child’s psychology

WHAT IS THE RIGHT TIME TO GET BRACES?

Every individual is different. Orthodontic treatment can be started as young as 7 years old. There is no upper limit in terms of age for Braces. If you have good oral health and firm teeth, you can get braces at any age. There is various kind of Orthodontic treatment available for all ages.

WHAT TYPES OF BRACES ARE AVAILABLE?

  • Metal Conventional Braces: These are the traditional and most common type of braces. The metal braces used today are much more comfortable and smaller in size. These require elastics which come in a variety of colors to tie the wire to the braces. The wires use your body heat to move teeth more quickly and less painfully. There is no age limit attached to these, as patients of all ages can choose to straighten their teeth using metal braces.
  • Metal Self Ligating Braces: These are metal Brackets with a shutter or lock system and do not require the use of elastic to tie the wire. In comparison to traditional metal braces, metal self-ligating braces are more comfortable and smaller in size. These are helpful in achieving arch expansion and minimize the need for extraction.
  • Ceramic Conventional Braces: Ceramic braces are the ones with clear brackets. They use tooth color and blends more naturally with your teeth. The shape and size are the same as metal braces. These are less visible on the teeth and as a result, are preferred by older teenagers and adults who might have aesthetic concerns. Sometimes, even the wires used are of tooth color which makes them less noticeable. Being less prominent, they require more care and protection compared to metal braces as they are larger and more brittle. They require extra protection, hence, are used more in upper teeth than lower.
  • Lingual Braces: Lingual Braces are heavy metal braces which are placed behind the teeth. These metallic braces can be made even of silver or gold. The individual Bracket is customized using CAD-CAM / 3D Designing. The treatment is highly aesthetic and less visible. This, however, can cause mild speech difficulties during the course of the treatment.
  • Aligners: Clear Aligners are medical grade plastic trays that do not require any braces or wire. They are totally invisible hence; the aesthetic concerns are duly met and make them very appealing with adults who need orthodontic treatment. Though placed inside they do not have any food restrictions associated. People believe that being placed on the inside, they might face speech difficulties; which is a myth. On the other hand, transparent braces are highly comfortable and hygienic. Clear Aligners also hide existing gaps.

FREQUENTLY ASKED QUESTIONS

After bonding the dental braces, it takes about 1-2 hours for the process to finish.

Usually, orthodontists do not recommend tooth extraction for fixing teeth braces. But if there is a serious crowding issue, one or two teeth need to be removed.

There is a variety of braces available and it depends on the patient getting them. If the patient wishes so, they can even get transparent/ceramic braces as well. For more information on what kind of braces will be more suitable for your needs, visit a Dental specialist at Clove Dental

Getting or having braces is not painful. However, slight discomfort and soreness are usual after getting them. Apart from this, metal braces may feel to be a little tight after getting them readjusted on a follow-up visit to the orthodontist.

The total duration of wearing dental braces depends on multiple factors that include the condition of teeth and compliance to oral care practices. Usually, the duration may vary from 18-36 months.

While wearing dental braces, one must definitely avoid any carbonated drinks, sticky food, and crunchy food including ice and popcorn.